37岁的王先生怎么也没想到,一次看似普通的鼻出血,竟会揭开一场与死神赛跑的抗癌之旅。几个月前,他还因鼻咽癌侵犯颅内、脑组织大面积水肿承受着剧烈疼痛,甚至面临生命危险,而济南君心肿瘤医院的个体化精准治疗,让他重获新生。
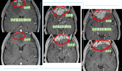
今年初,一向身体健康的王先生因右侧鼻腔出血就医,被确诊为“右侧鼻腔低分化鳞癌”。经过3周期免疫+化疗与肿瘤切除手术后,他本以为病情得到控制,可短短三个月后,额部及眼眶的持续剧痛再次将他推向深渊——检查显示肿瘤已侵犯颅内,情况危急。
面对这一高风险、高难度的晚期病例,济南君心肿瘤医院的MDT(多学科协作)专家团队迅速行动。耳鼻喉头颈外科、放疗科、肿瘤内科等多科室专家共同研判,为王先生量身定制了个体化精准治疗方案。
经过20次精准放疗,复查结果令人振奋:颅内侵犯肿瘤基本消退,脑水肿大幅减轻,疼痛与出血症状完全消失,几乎实现“临床清零”,治疗效果远超预期。这场从颅内转移走向临床清零的生命奇迹,只是济南君心肿瘤医院守护生命的又一个开始。
能创造这样的治疗奇迹,离不开济南君心肿瘤医院的硬实力。作为山东省首家中美合资肿瘤专科医院,济南君心肿瘤医院由归国华侨杨军博士创立,是济南市和槐荫区政府重点招商引资项目。医院配备美国瓦里安Vitalbeam700型加速器、西门子双源CT等先进设备,还拥有由海归肿瘤学博士与国内公立三甲医院专家组成的顶尖团队,为患者提供权威、专业的诊疗服务。
如今,王先生已重拾生活信心,而济南君心肿瘤医院也将继续践行“唯君安康,医者仁心”的办院宗旨,让更多患者在家门口享受到国际水准的肿瘤精准诊疗服务。
声明:发布该信息旨在为读者提供更多新闻资讯。所涉内容不构成投资、消费建议,仅供读者参考。
责任编辑:李 震
汇融优配-配资指数平台-配资专业门户登录入口-配资股网址提示:文章来自网络,不代表本站观点。